We have developed xantasil specifically for the requirements of your anatomical impressions. The addition-curing, elastomeric alginate substitute will give you robust impressions with long-term dimensional and storage stability every time.
Benefits
Long-term dimensional stability
More flexibility and convenience when pouring impressions – no time pressure
Later pouring with no loss of accuracy
Multiple pouring of an impression
Better detail reproduction compared to traditional alginates
Can be stored for several weeks
Automatic mixing
Compatible with the Dynamix® speed 2 mixing device
Excellent void-free, homogeneous mix quality
Hygienic processing with no dust formation and cleaning
Saves time and effort due to the ready-to-use dosage form and the low number of work steps (compared to traditional alginates)
Material savings – only the required amount of material is dispensed
Indications
Xantasil covers all anatomical impression indications for which traditional alginates would typically be used, such as:
- Temporaries - Orthodontic models - Splints - Impressions of opposing jaws - study models
Applications
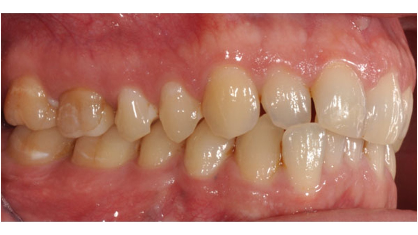
Orthodontic Models (Dr. Marcus Holzmeier, University of Würzburg, Germany)
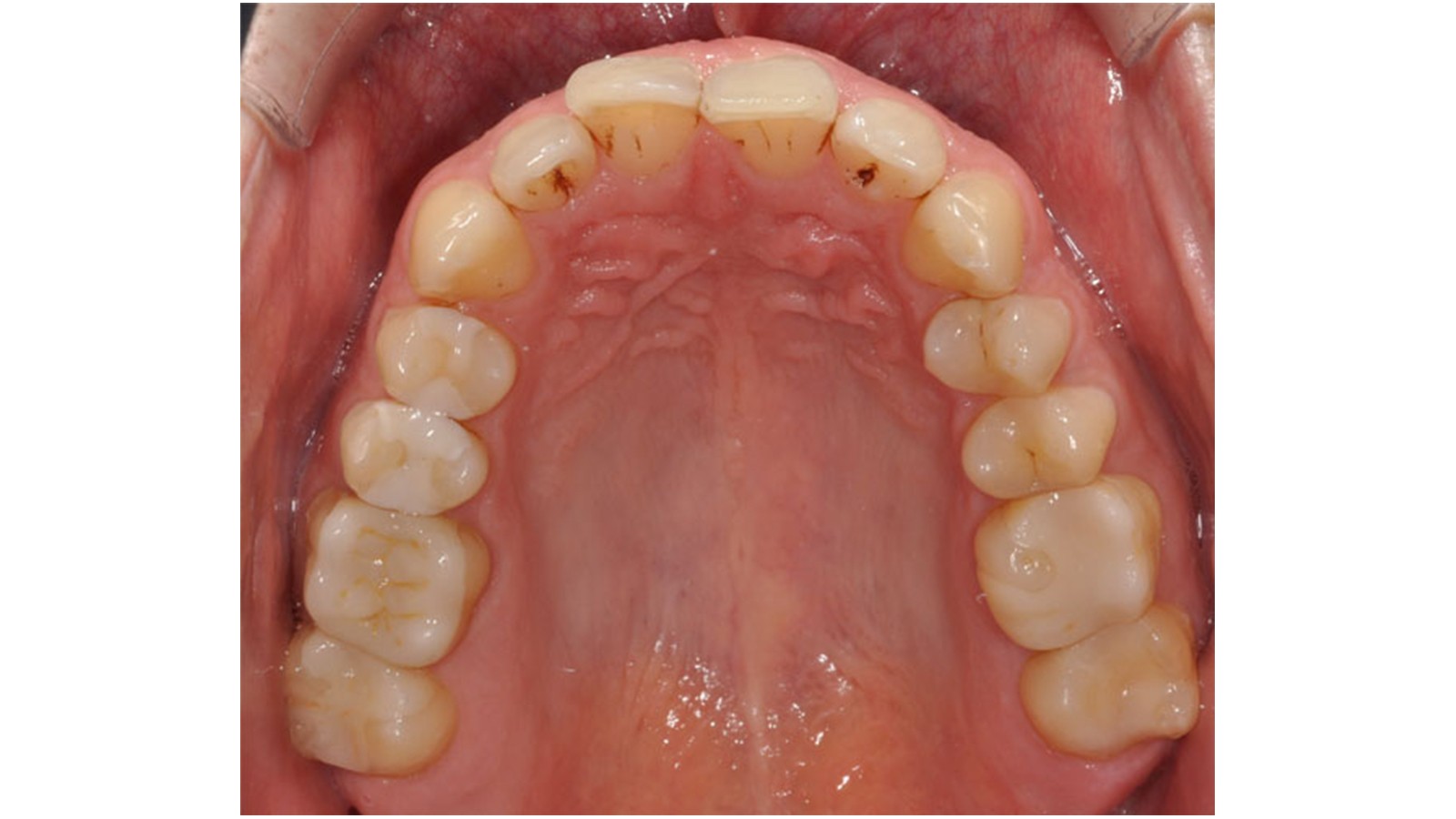
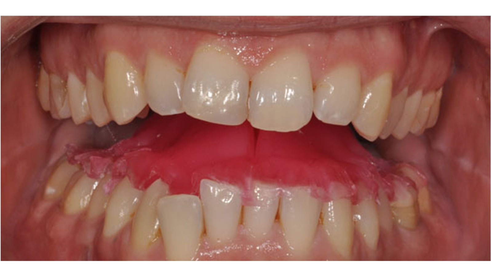
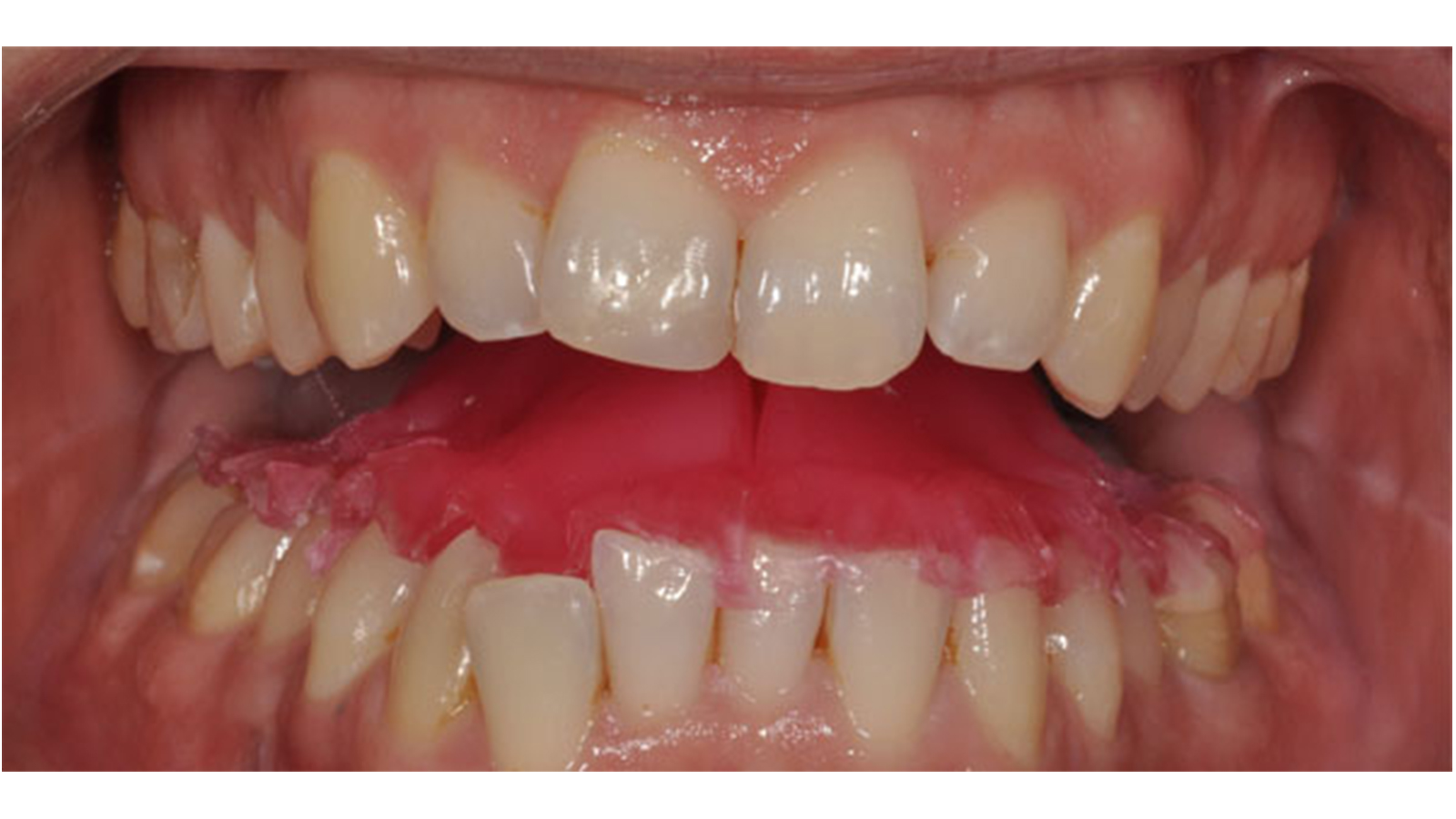
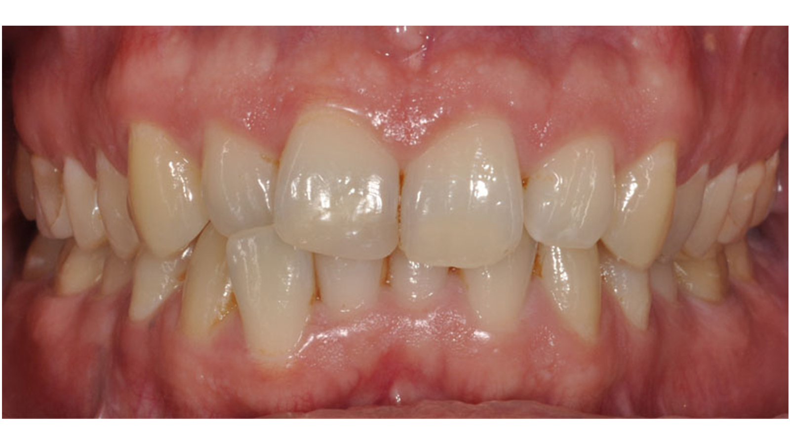
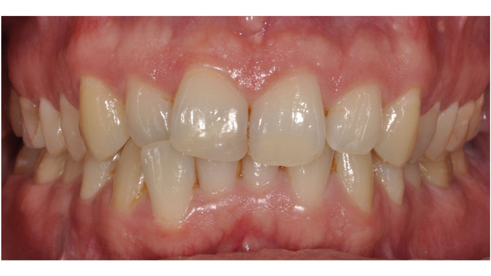
Malocclusion of the right lower lateral incisal
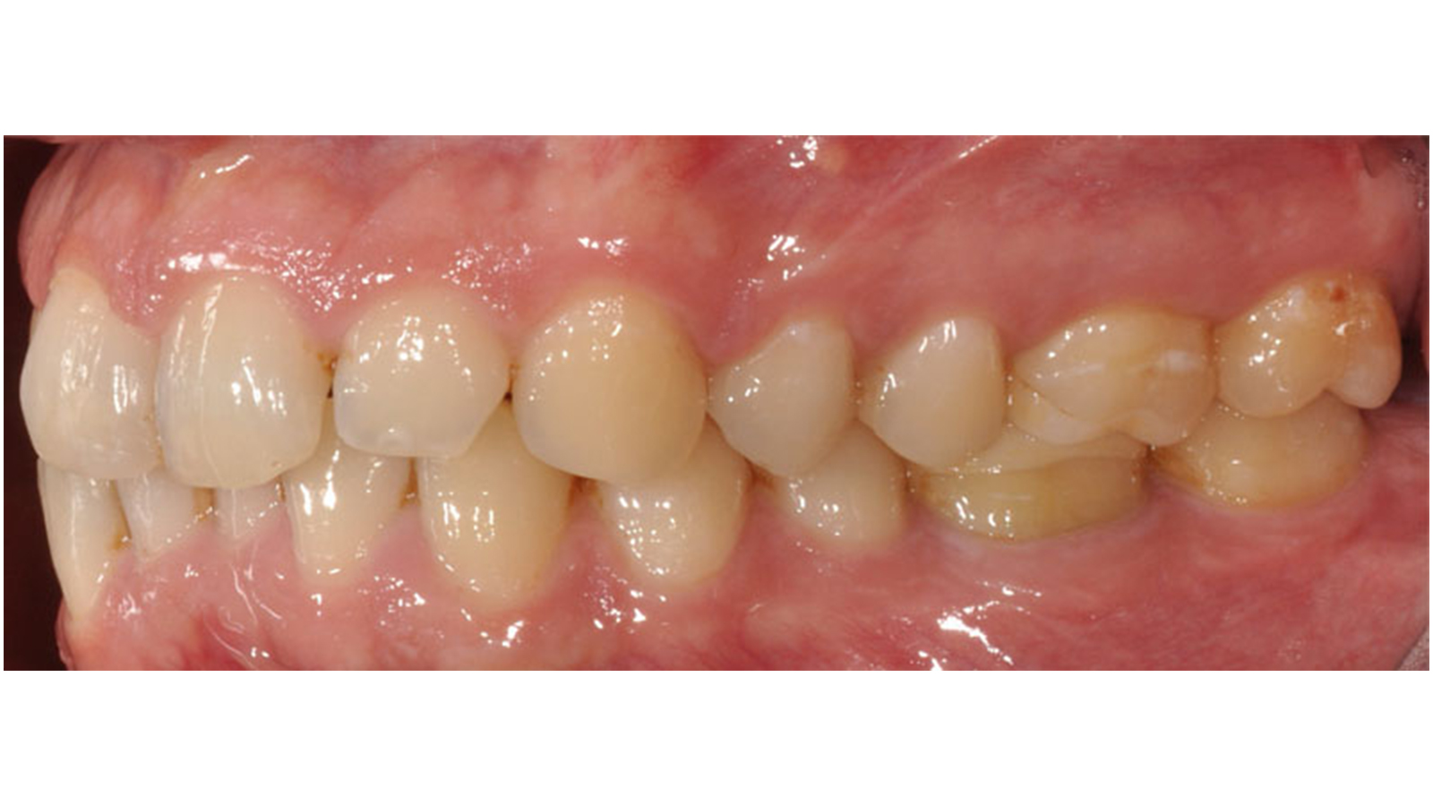
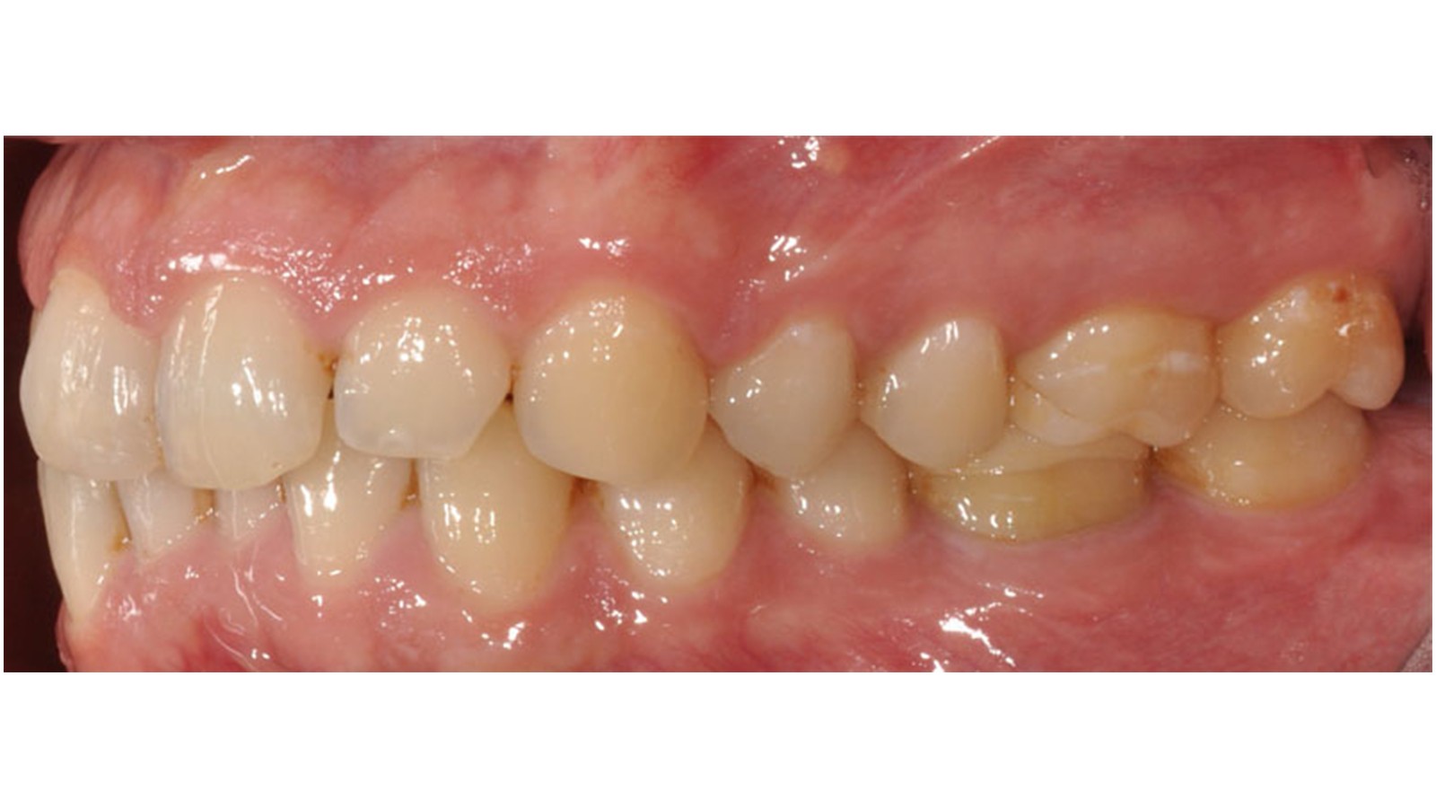
Right lateral view on occlusion
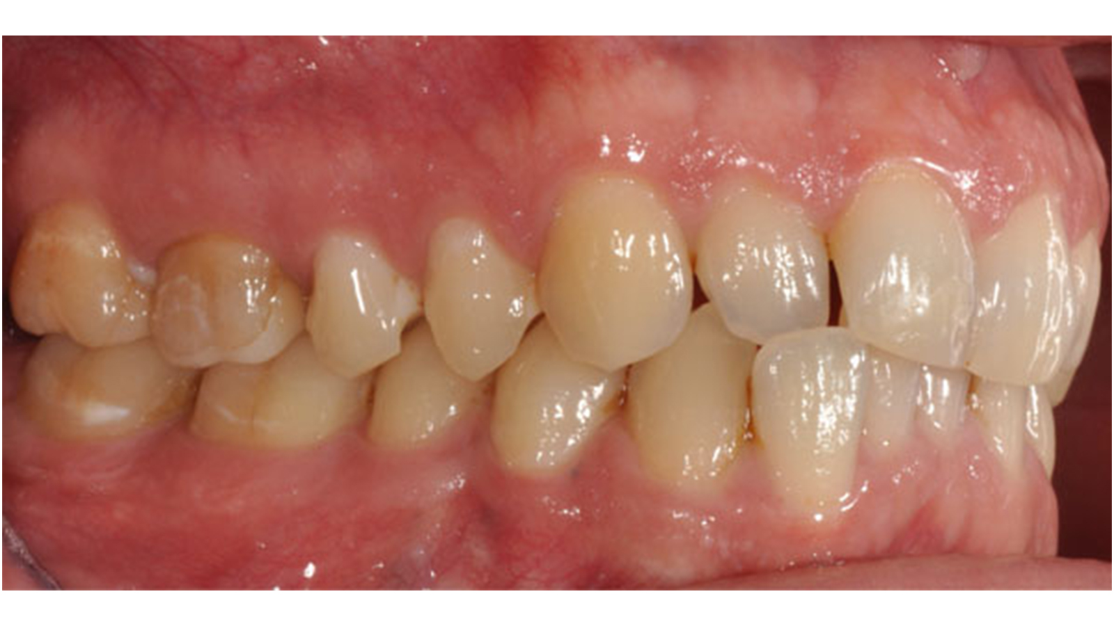
Left lateral view on occlusion
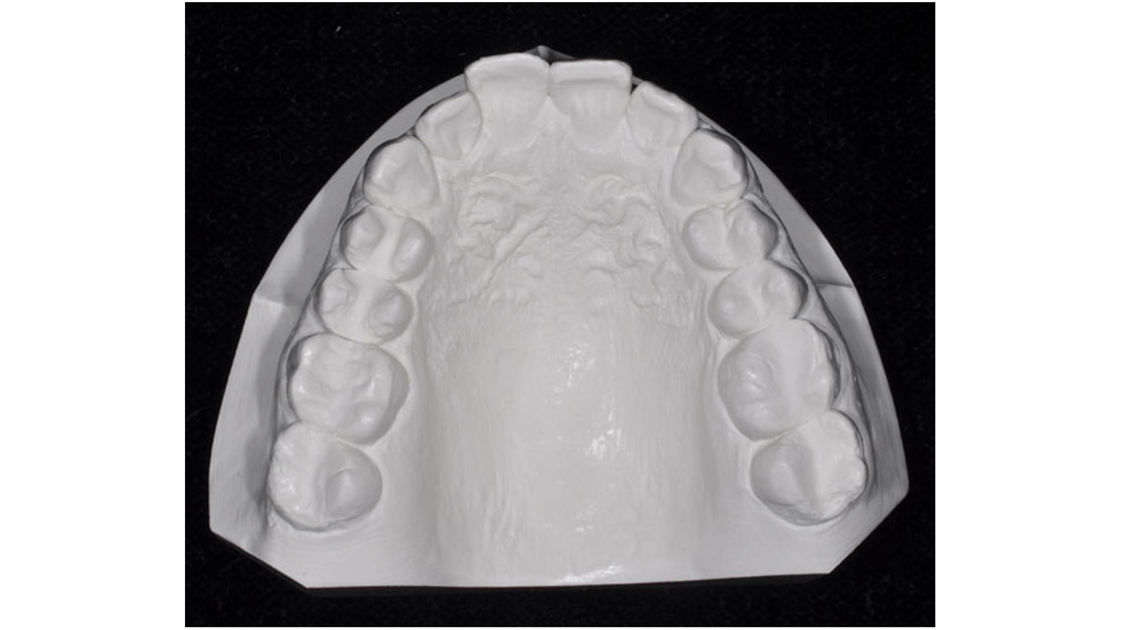
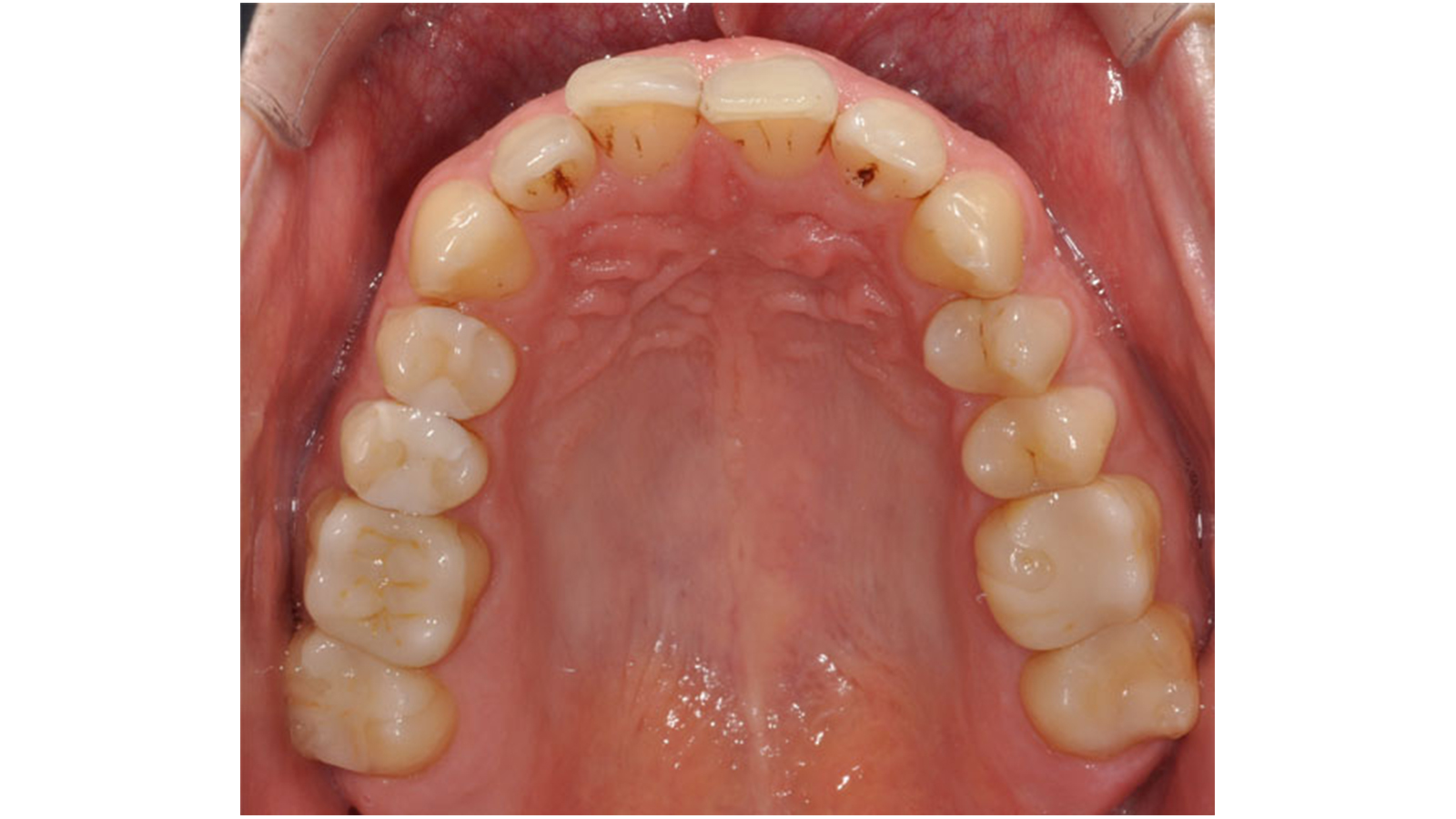
Maxillary dental arch
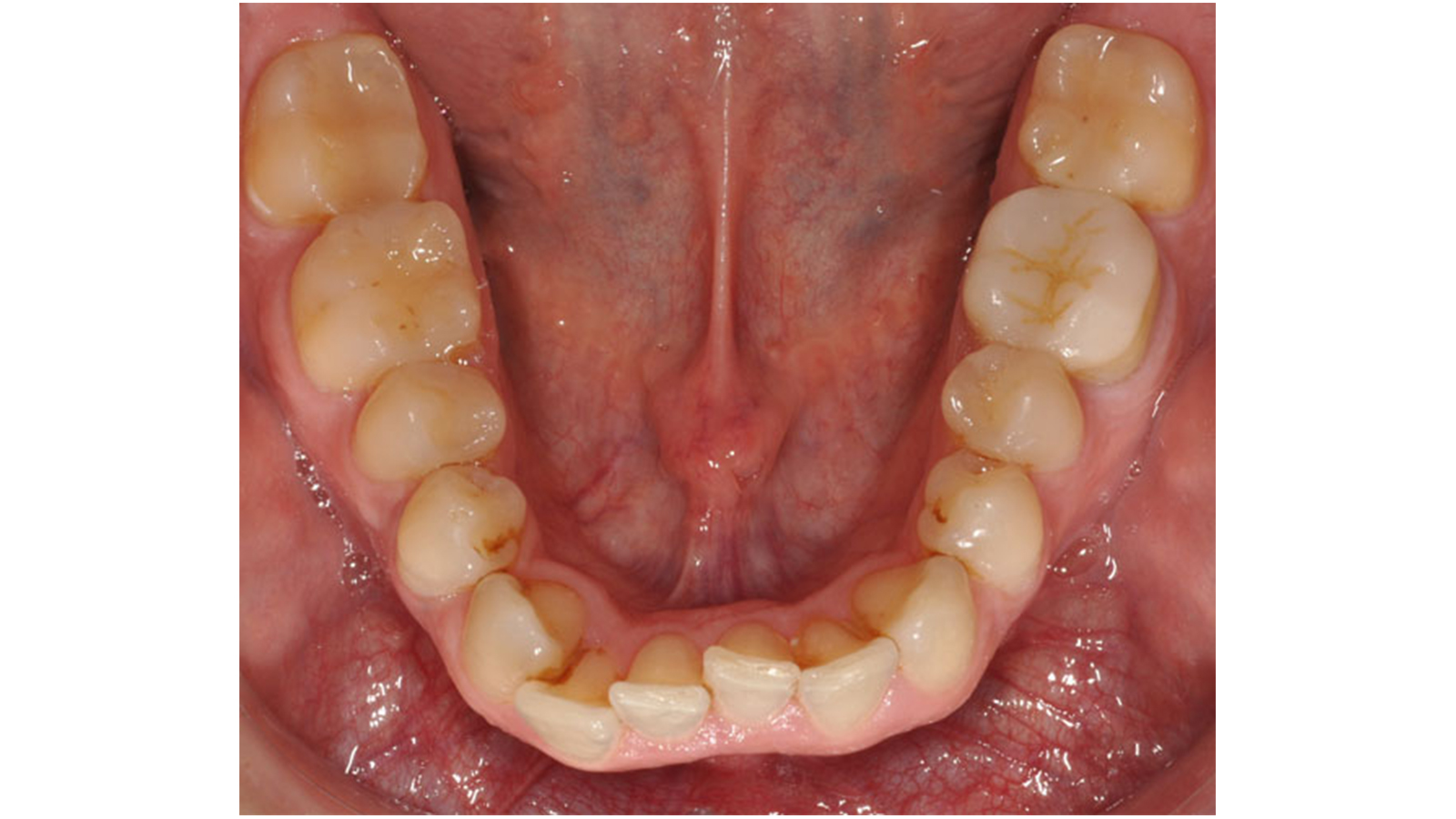
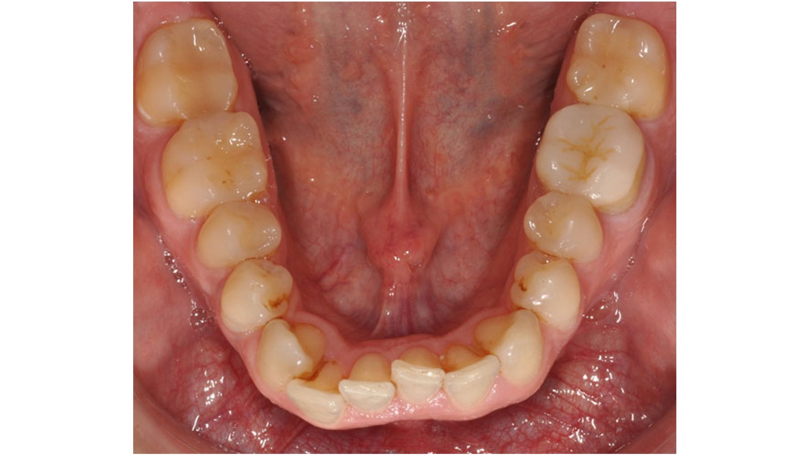
Mandibular dental arch
Wax bite record
Homogenous xantasil impression of maxilla
Perfect result of mandibular impression
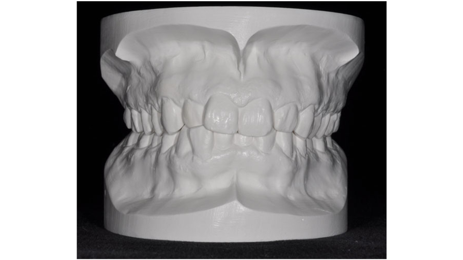
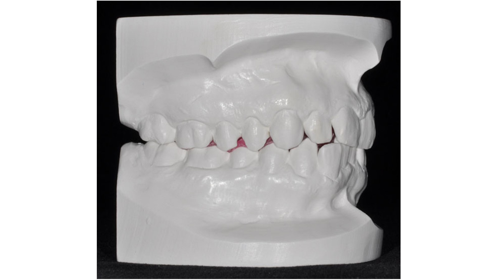
Diagnostic model of maxilla
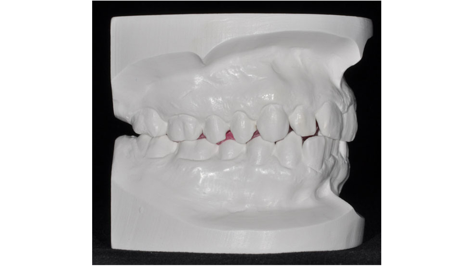
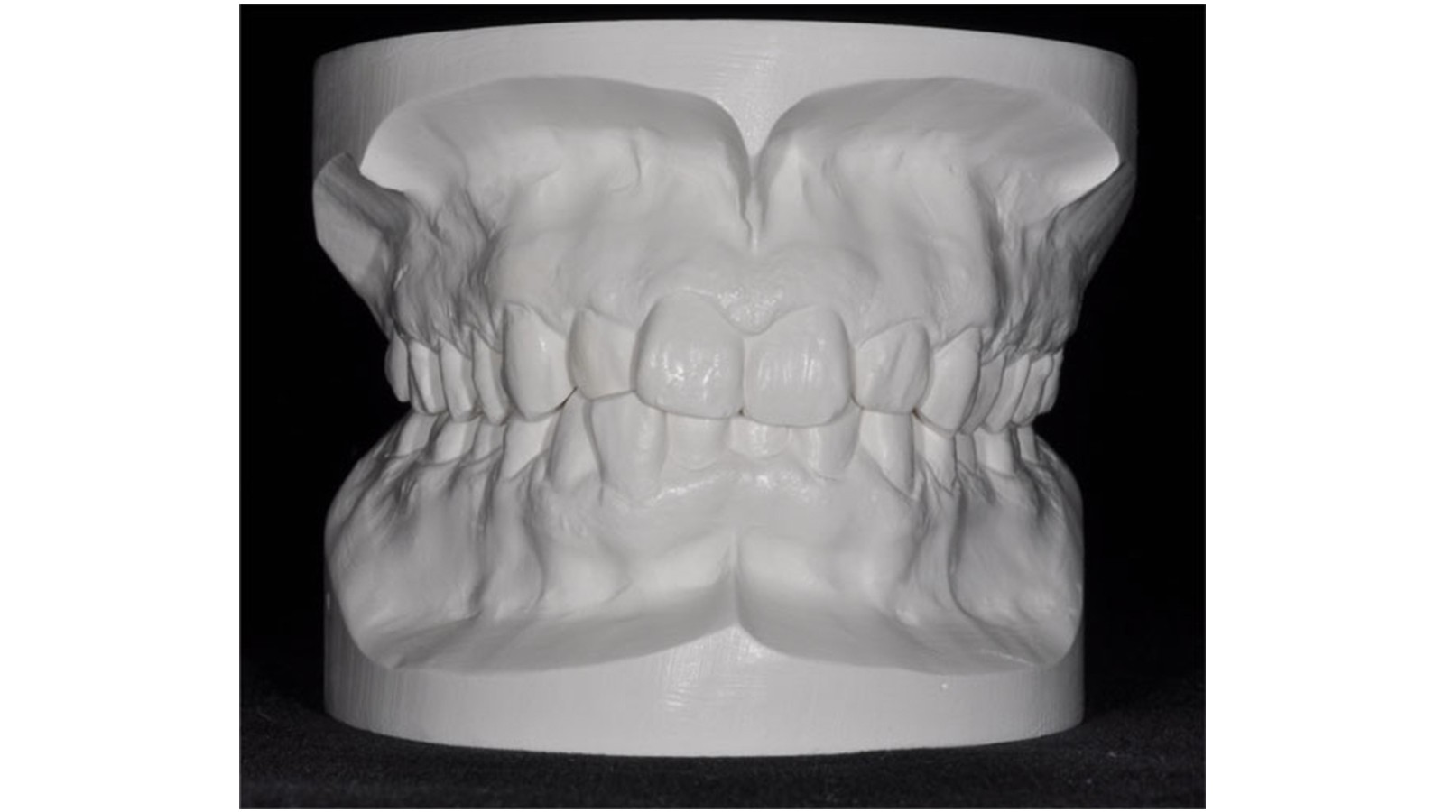
Diagnostic models in occlusion
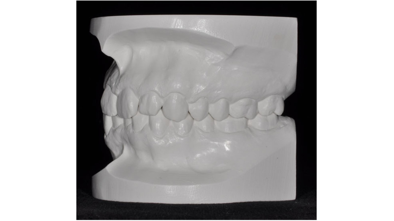
Right lateral view of diagnostic model
Left lateral view of diagnostic model
Science
Impressive dimensional stability: Reference form with ruler.
Source: R&D Kulzer. Storage conditions in accordance with ISO 4823. Data available.
Impressive dimensional stability: Shrinkage behaviour of leading competitor alginate after 24 hours.
Source: R&D Kulzer. Storage conditions in accordance with ISO 4823. Data available.
Impressive dimensional stability: xantasil shrinkage behaviour after several weeks.
Source: R&D Kulzer. Storage conditions in accordance with ISO 4823. Data available.
Dynamix Speed 2 offers precision at the push of a button with additional markings on the level indicator to assess if the remaining quantity is sufficient for another impression (upper/lower jaw).