Can fewer layers achieve the same aesthetic results as traditional multi-layer approaches? A recent study shows that Venus Pearl Pure Shades deliver comparable aesthetically pleasing colour matching results to polychromatic techniques and can reduce errors in shade selection by 67%.
Could less really be more?
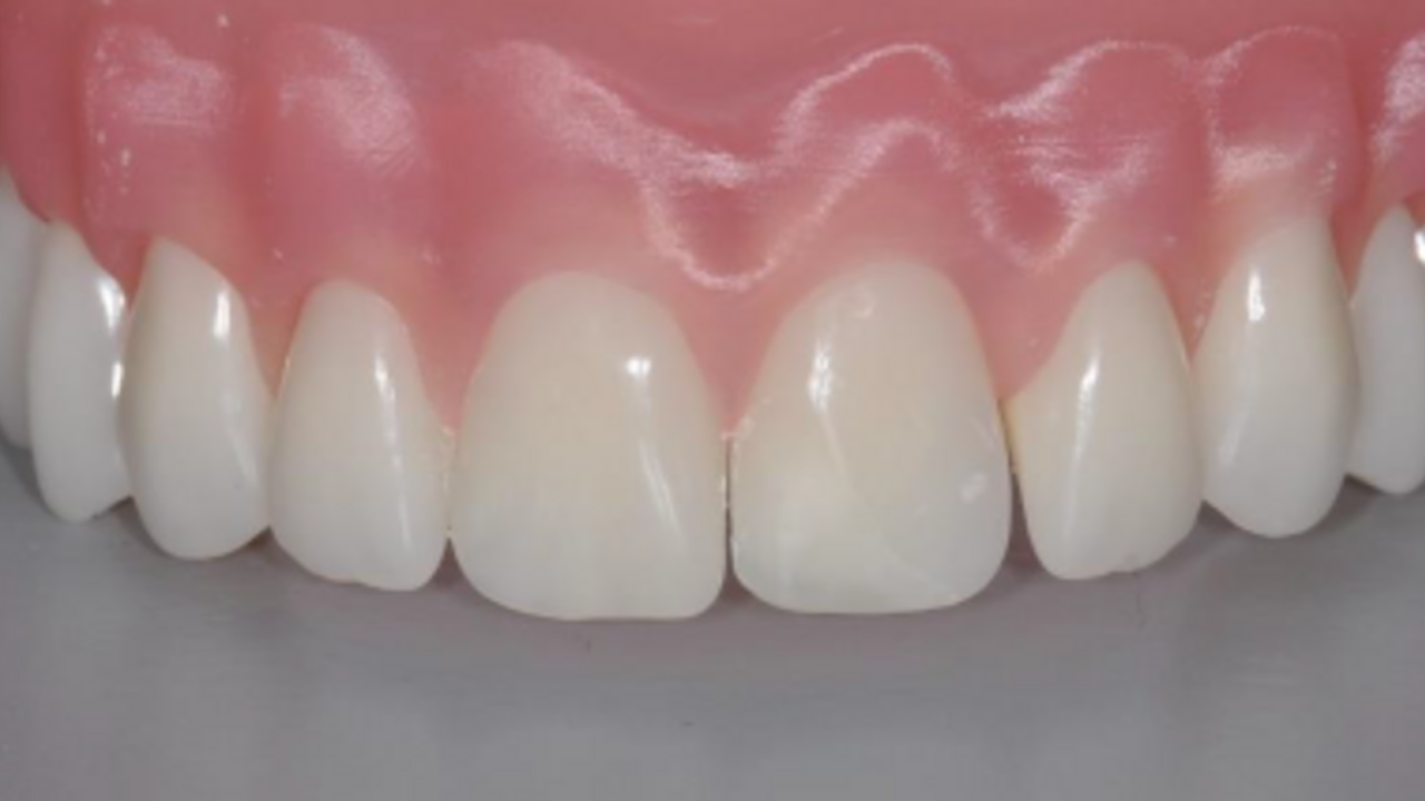
Traditionally, polychromatic layering has been the gold standard for achieving lifelike restorations, especially in the anterior region. This approach mimics natural tooth structure by layering different composites to replicate colour gradients, translucency and opalescence. However, this technique is complex, time-consuming and prone to colour-matching errors, which can be challenging in everyday dentistry where time often is scarce and a simplified approach desirable.
But what if a new shade system could simplify this process while achieving aesthetically pleasing results? A recent in-vitro study from the Heidelberg University* suggests it’s possible. By using Venus Pearl Pure Shades in monochromatic layering, aesthetically pleasing colour matching results comparable to polychromatic layering can be achieved while benefiting from a streamlined workflow.
The Heidelberg Study: 67% less errors in shade selection
The in-vitro study, conducted with 64 advanced dental students, tested the performance of Venus Pure Shades in Class III and IV cavities on high aesthetic dental models. By comparing monochromatic and polychromatic layering, the researchers uncovered several notable findings:
Simplify aesthetics without compromise
Venus Pearl Pure Shades reduce complexity without sacrificing quality through a 'group shade' system. The system offers three intuitive options – LIGHT, MEDIUM and DARK – designed to cover the full range of 16 Vita shades and shade BLEACH for the treatment of bleached teeth. By eliminating the need to distinguish between close shades such as A2 and A3, Venus Pure Shades make colour selection easier and more reliable.
With the perfect balance of translucency, hue and chroma, each Venus Pearl Pure shade covers a portion of the 16 Vita shades and blends seamlessly into the surrounding tooth structure when applied monochromatic. This minimises potential issues associated with polychromatic layering, such as the usage of too much incisal mass in the incisal area, which can lead to an undesirable grey appearance and a lack of natural results. In addition, this simplicity is matched by the superior material properties of the well-known TCD urethane matrix.
For the practitioner, Venus Pure Shades mean:
Why Pure Shades can benefit all dentists
The benefits of Venus Pearl Pure Shades go far beyond simplifying restorative work for dental students. These materials are a practical choice for any dentist looking to optimise their workflow in everyday dental practice.
In busy practices, time and cost savings add up quickly. By reducing complex layering procedures and minimising potential shade-matching errors, Venus Pure Shades allow the clinician to focus on patient care while delivering high-quality, aesthetically pleasing restorations.
* Heidelberg University Hospital, Department of Conservative Dentistry: Shade matching of monochromatic and polychromatic composite restorations – an in vitro study, test report 2024
Manager Corporate Communications
Matthias Brehmke