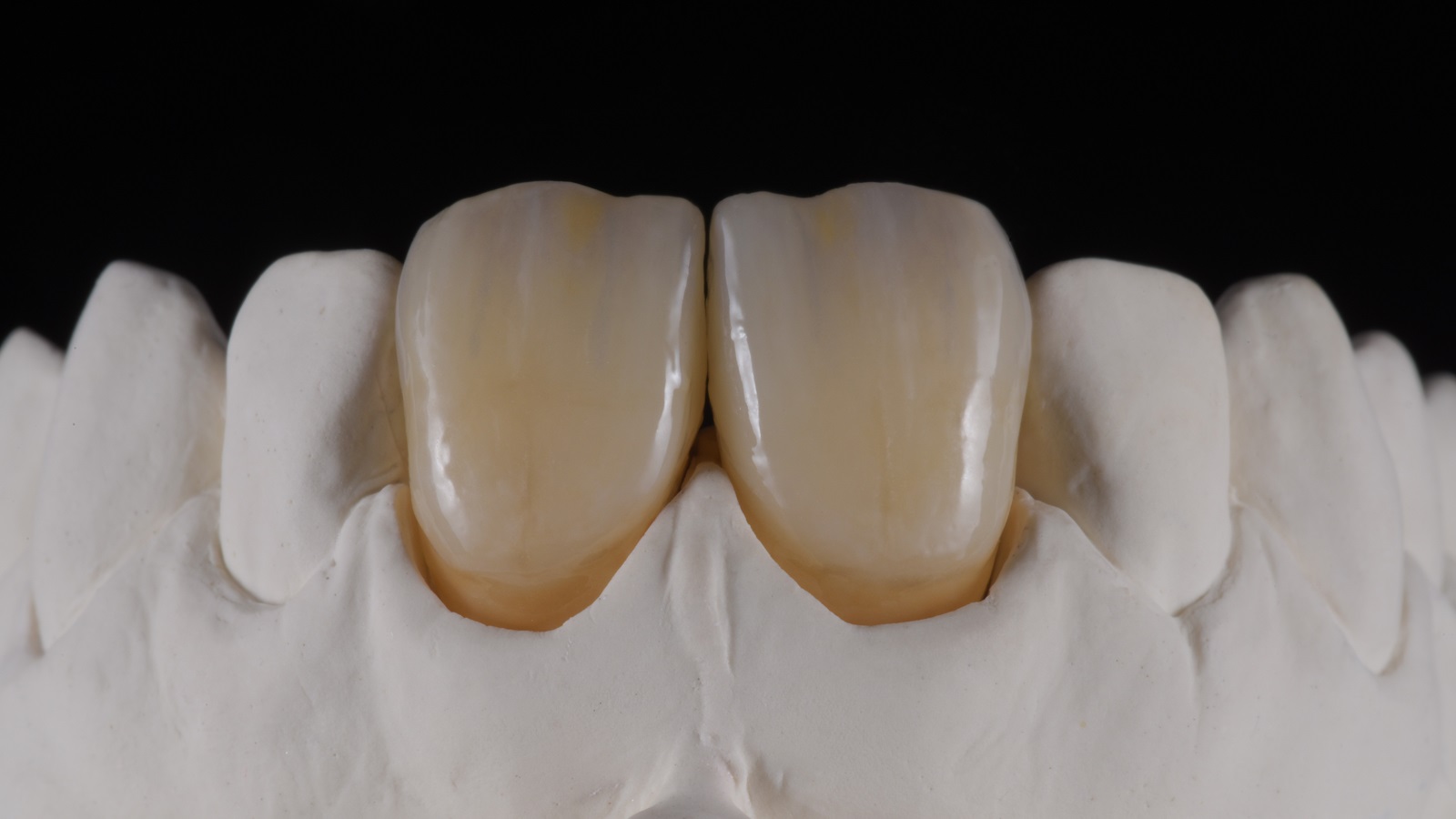
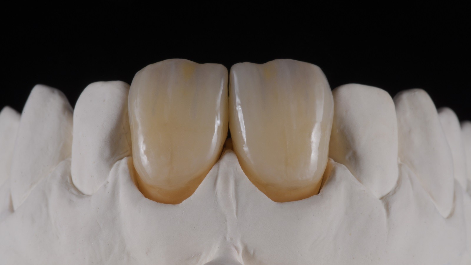
Hybrid Micro-Layering of a central incisior in 3 firings – Video Tutorial
Hybrid Micro-Layering – Step-by-Step
"The synergy between HeraCeram cre-active and HeraCeram Zirkonia 750 opens up new possibilities for minimal layering cases. This powerful combination allows dental technicians to achieve stunningly natural and lifelike restorations with increased efficiency and precision. The intuitive handling and consistent results make this duo the ideal choice for creating aesthetically superior zirconia-based restorations."
Rüdiger Neugebauer, on the ideal combination of HeraCeram cre-active and HeraCeram Zirkonia 750 for minimal layering cases.