Unlock your artistic potential with HeraCeram cre-active's tutorials, featuring expert tips and tricks for individualized restorations.
Personalised Staining of central incisor in 1 firing - Video Tutorial
Posterior Tooth Finishing - Standard and Personalised Staining in 1-3 firings
Personalised Staining Concept
Zirconia multi-layer frames - ready for individualisation.
Strengthening chroma in cervical area: Staining of the lower body area with HeraCeram cre-active 2D Body A and application of HeraCeram cre-active 2D Peanut in cervical area and draw fine lines with HeraCeram cre-active 2D Coffee in approximal area horizontally
Creating transparency and contrast in incisal area: Create transparency effect in incisal area with HeraCeram cre-active 2D Aubergine. Create mamelon structure with HeraCeram cre-active 2D MD3 and increase with HeraCeram cre-active 2D VL3.
Translucency and contrast in incisal area adjustment: Strengthen the structure of the mamelons with HeraCeram cre-active 2D Anthracite and HeraCeram cre-active 2D Pacific. Create enamel cracks with HeraCeram cre-active 2D Milk. Increase Transparency with HeraCeram cre-active 2D Anthracite on the incisal area. Create transparency with HeraCeram cre-active 2D Pacific on the mesial incisal edge. Chroma enhancement with HeraCeram cre-active 2D Amber in incisal area.
Enamel cracks and lime spot: Creating enamel lime spot and enamel cracks with HeraCeram cre-active 2D Milk.
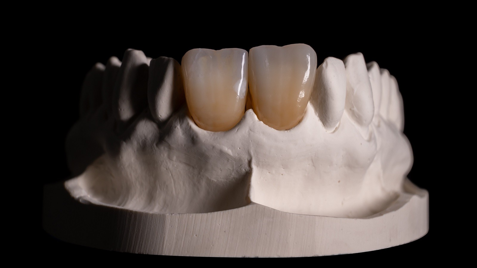
Final result after HeraCeram cre-active 2D Firing.
Increased Enamel cracks and lime spot: Creating enamel cracks with HeraCeram cre-active 2D Milk and enamel lime spot with appling HeraCeram cre-active Glaze and mixing in HeraCeram cre-active 2D Milk.