Brighten your patients' smiles with HeraCeram cre-active's 2D & 3D masses for bleach cases. Our tutorials showcase expert techniques for creating dazzling, natural-looking restorations that blend seamlessly with bleached dentition.
Aesthetic Bleach concept – Video Tutorial
Showing two ways of bleach: Standard staining and finishing with 2D & 3D masses
Pro Insights: Thomas Backscheider Real Talk über HeraCeram und das cre-active System
BLEACH PLEASE CONCEPT - Two ways of bleach: 2D or 2D/3D HeraCeram cre-active
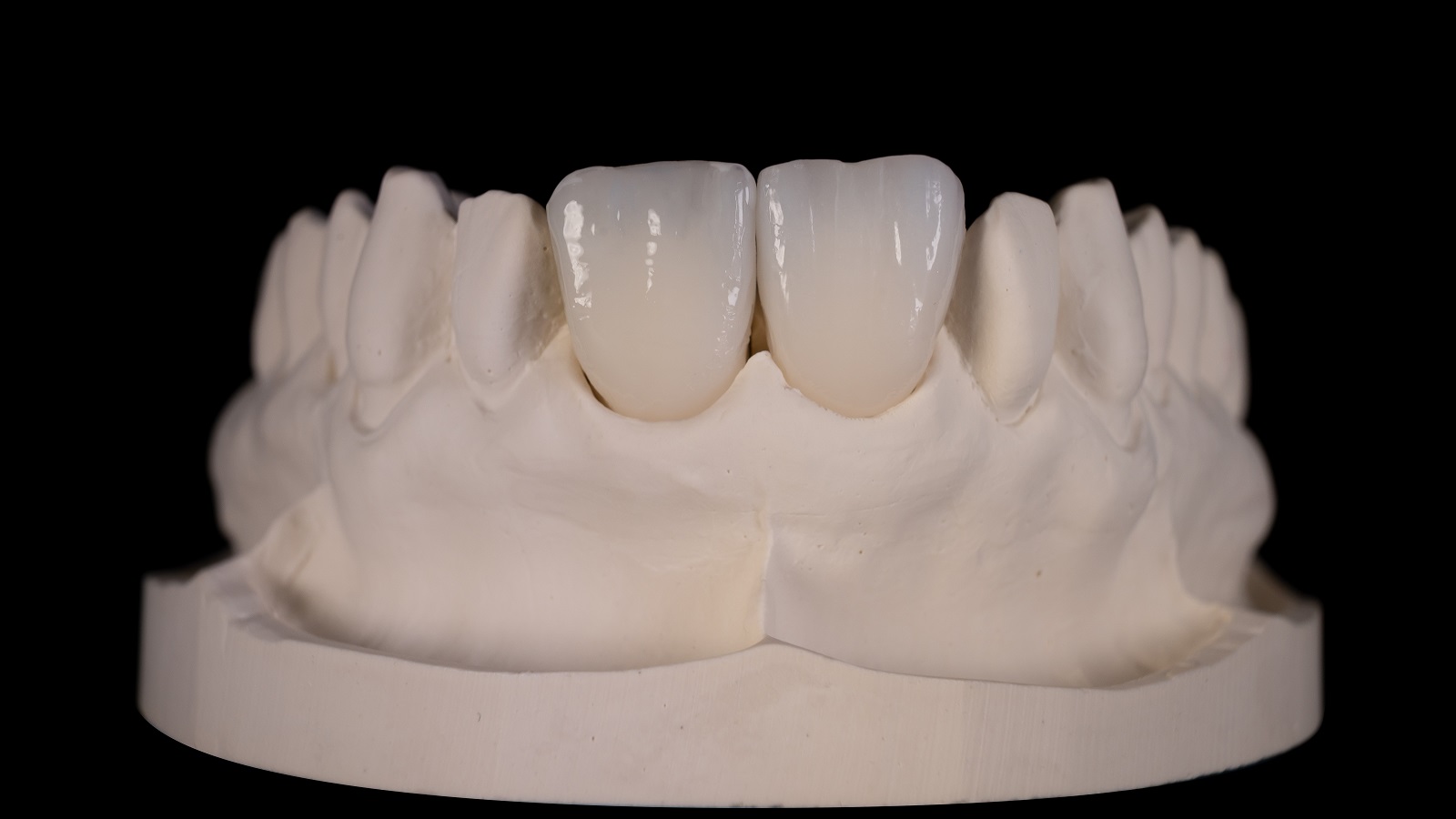
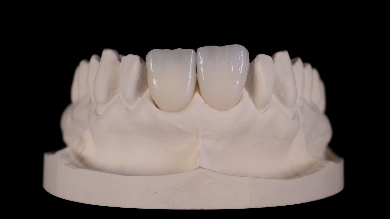
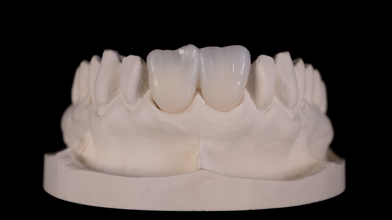
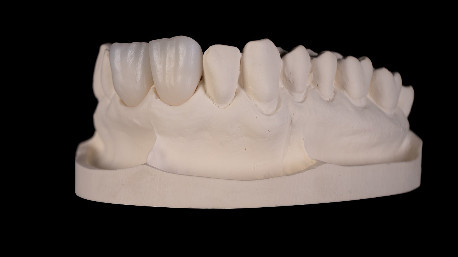
Zirconia multi-layer frames - ready for individualization: 11 prepared for staining with 2D colors; 21 prepared with minimal reduction for finishing with 2D and 3D colors.
Zirconia multi-layer frames - ready for individualization: 11 prepared for staining with 2D colors; 21 prepared with minimal reduction for finishing with 2D and 3D colors.
Create transparency effect by applying HeraCeram cre-active 2D Anthracite in the incisal area in wedge shape and enhance the effect by building contrast with HeraCeram cre-active 2D Milk and HeraCeram cre-active 2D Vanilla.
Set translucency highlights with HeraCeram cre-active Pacific and individualize with HeraCeram cre-active 2D stone in the cervical area.
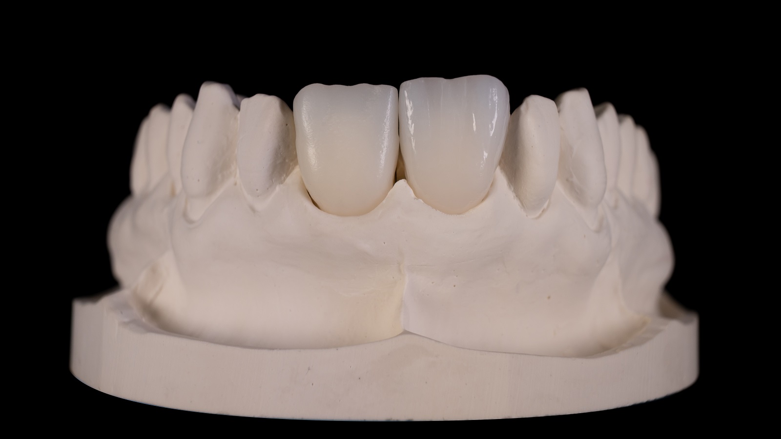
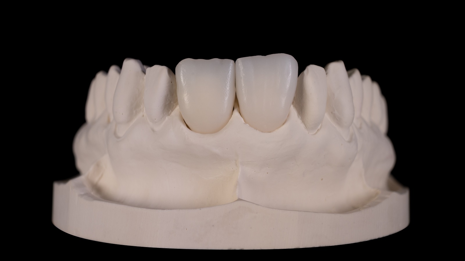
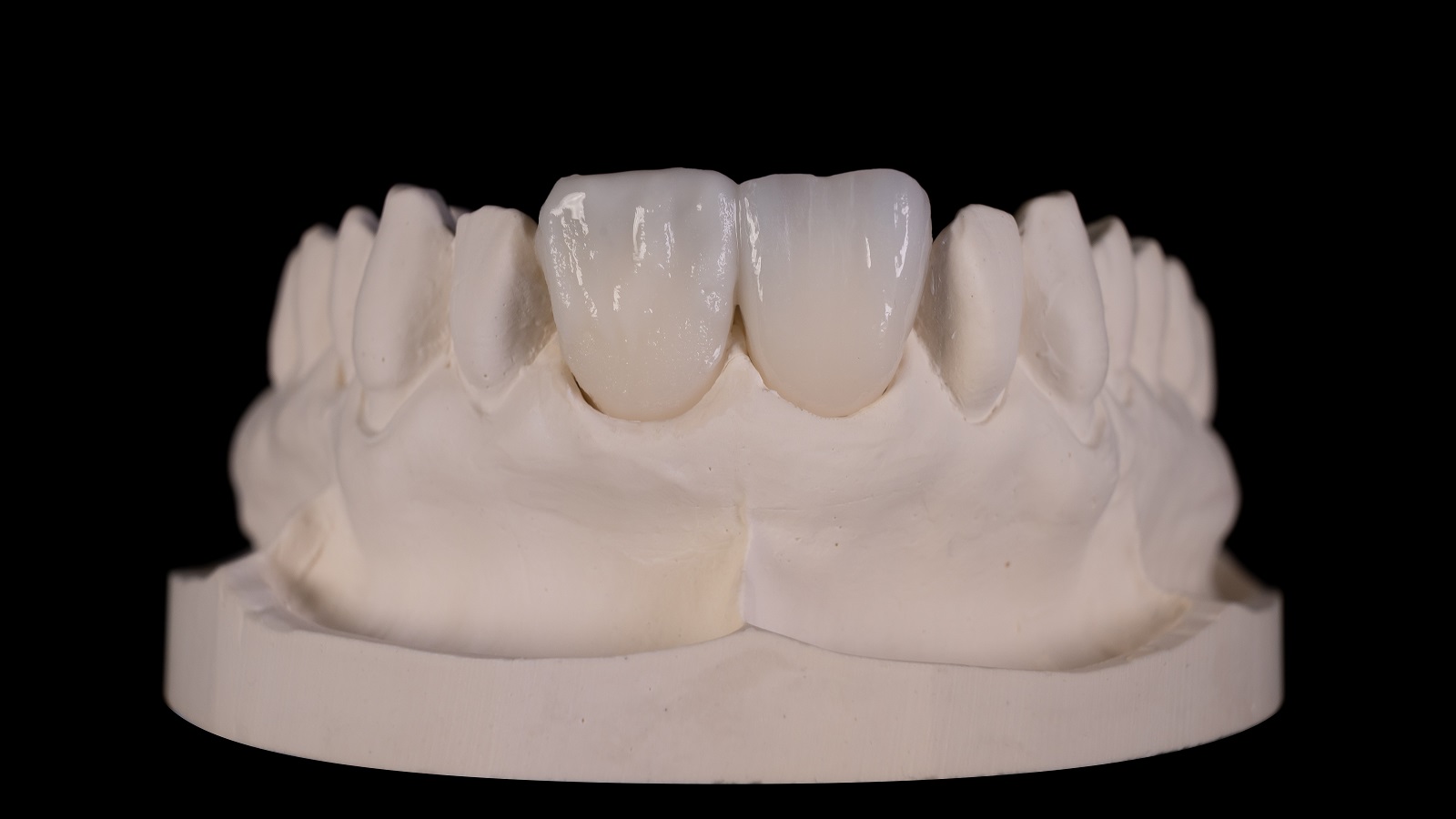
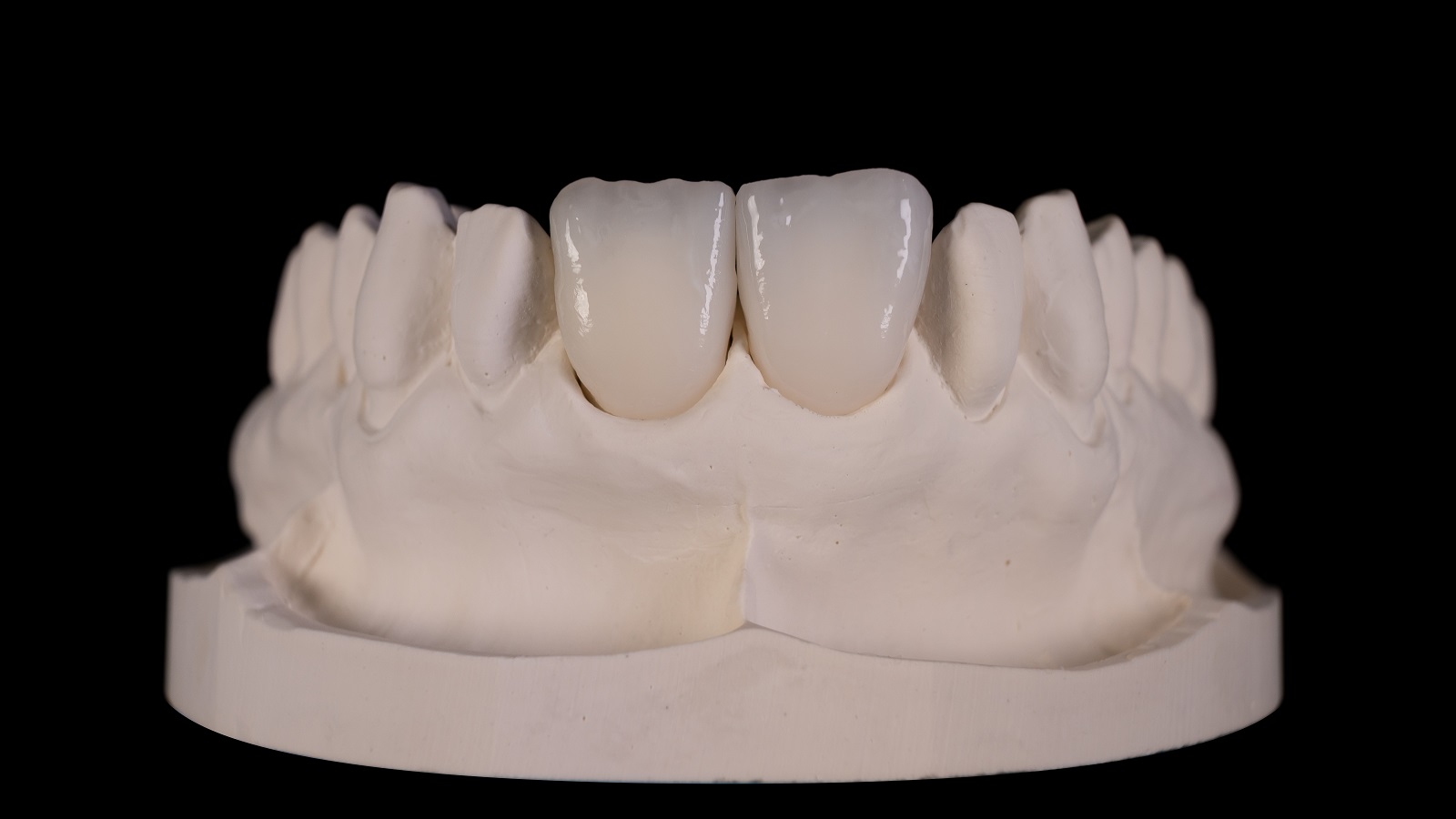
Final result after HeraCeram cre-active 2D Firing.
Final result after HeraCeram cre-active 2D Firing.
Build up the mesial edge with HeraCeram cre-active 3D OT1.
Follow on with the distal edge with HeraCeram cre-active 3D OT10.
Finalize the incisal area with HeraCeram cre-active 3D OS Bleach.
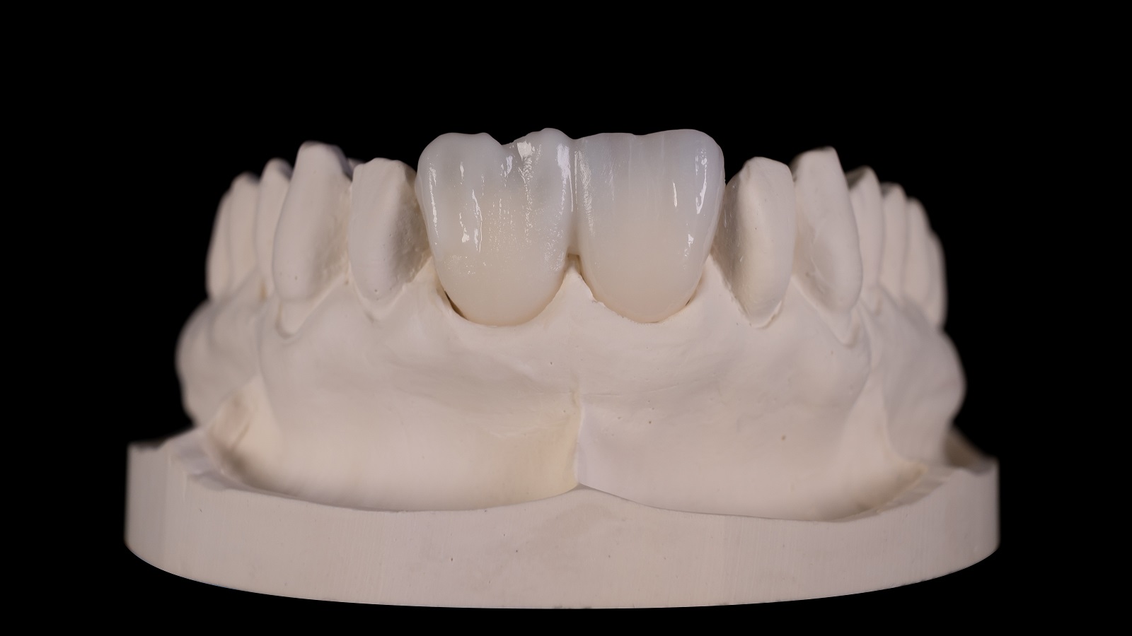
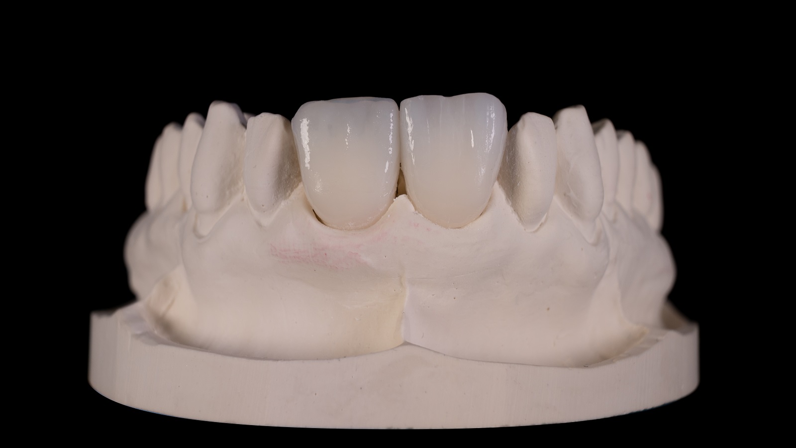
Result after HeraCeram cre-active 3D Firing in incident light.
Result after HeraCeram cre-active 3D Firing.
Result after HeraCeram cre-active 3D Firing in transmitted light.
Cover in very thin layer with HeraCeram cre-active Glaze and individualize with HeraCeram cre-active 2D Vanilla on the lateral edges. Set highlights with HeraCeram cre-active 2D Milk and spread HeraCeram cre-active 2D Anthracite and 2D Pacific slightly in the centre of the incisal edge.
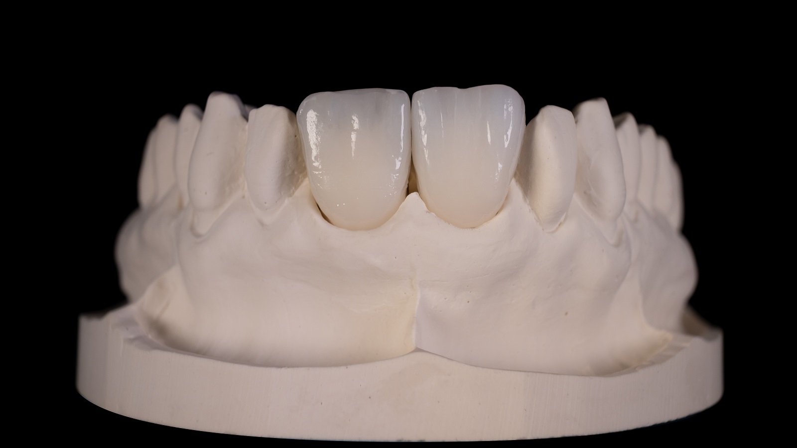
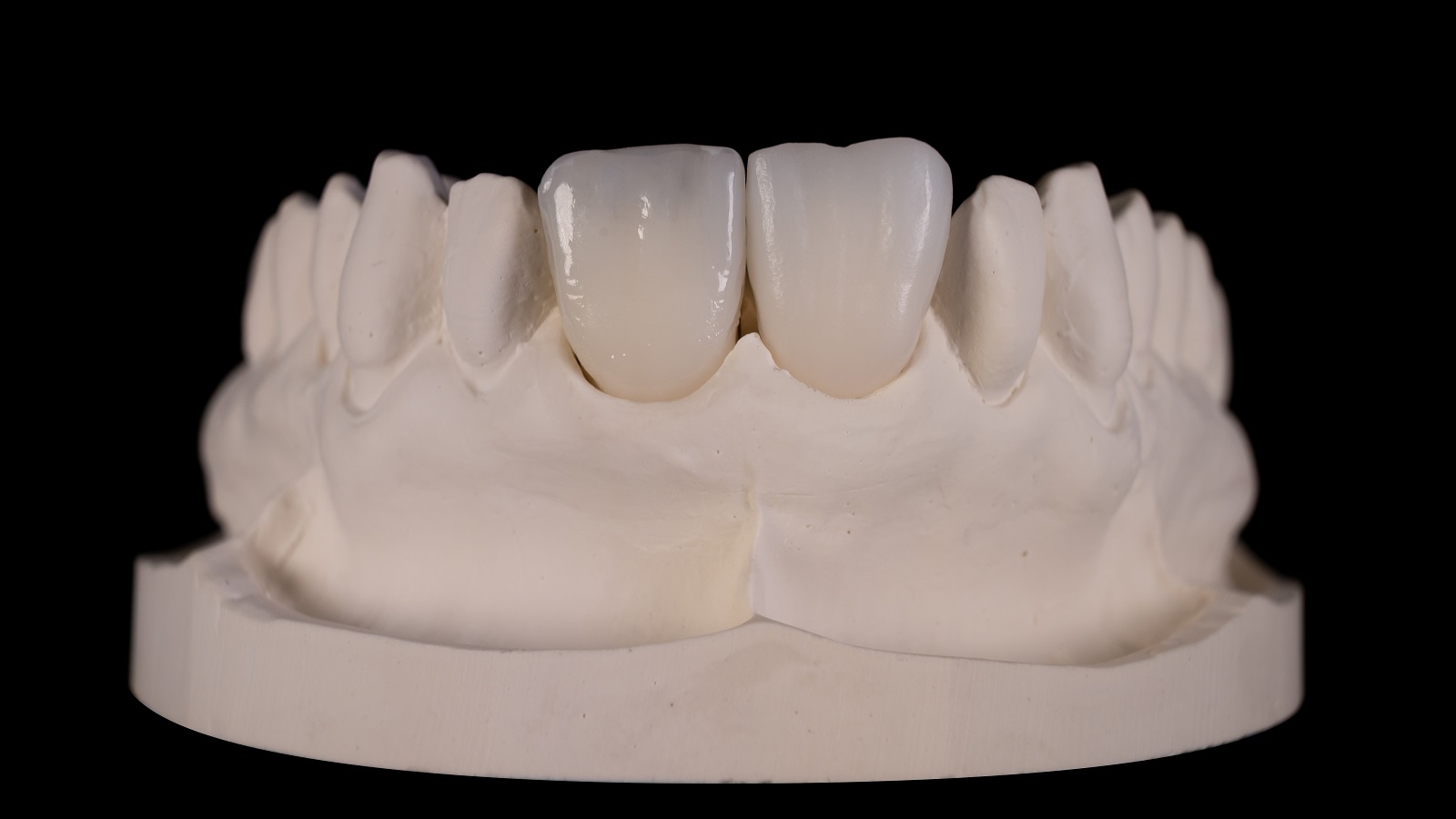
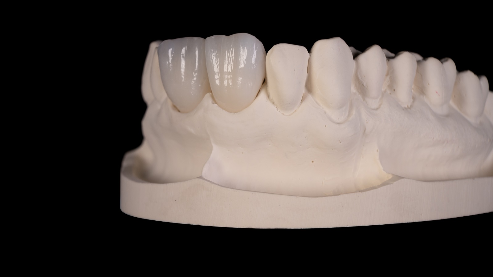
Final result after HeraCeram cre-active 2D firing.
Final result after HeraCeram cre-active 2D firing.
Final result in transmitted light.
Left: finished work, right: initial situation.
Left: initial situation, right: finished work.
Thomas Backscheider, dental technician
The tutorial by Thomas Backscheider showcases expert techniques for creating dazzling, natural-looking restorations that blend seamlessly with bleached dentition.