Create a full case with your favourite Charisma product or submit your before-and-after pictures and get the chance to share your inspiring results with our global community. Be a part of it!
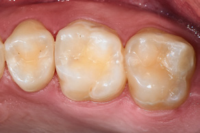
Example of submited clinical case by Dr. Dominik Ślusarczyk
Three steps for best results
Step 1: Check the case report guidelines for the creation of clinical cases:
Step 2: Take pictures
Step 3: Upload the pictures & describe case briefly by following the form below
Upload information
Depending on the size of the files, the transfer may take a few seconds. Please do not leave the page during the transfer and wait a few moments after clicking the send button. The upload process starts immediately and you will be notified after successful completion.