04.11.2024
| Quote on the use of Venus Pearl Pure Shades: |
| Perfect mechanical properties and easy colour matching. A really user-friendly product. |
| CLINICAL CASE |
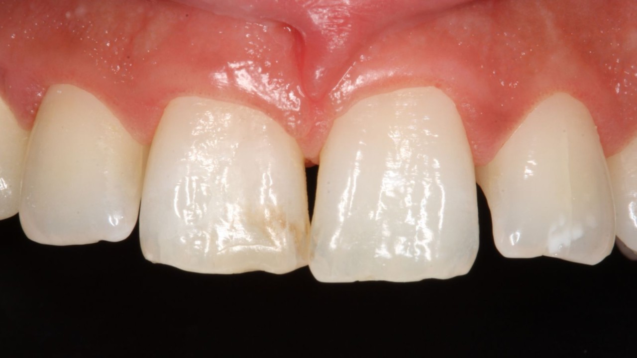
Initial situation: Aesthetic reconstruction of the upper incisors desired.
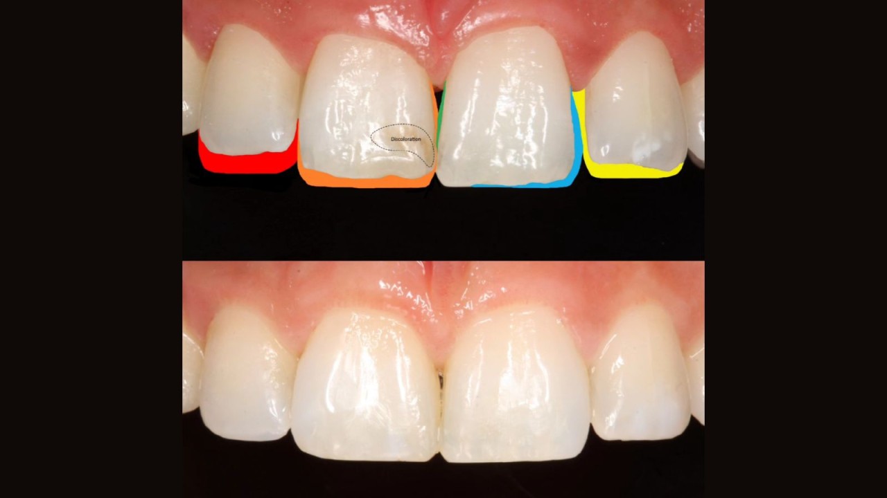
Shade selection with Venus Pearl Pure Shades.
Mapping for the areas which need composite reconstruction.
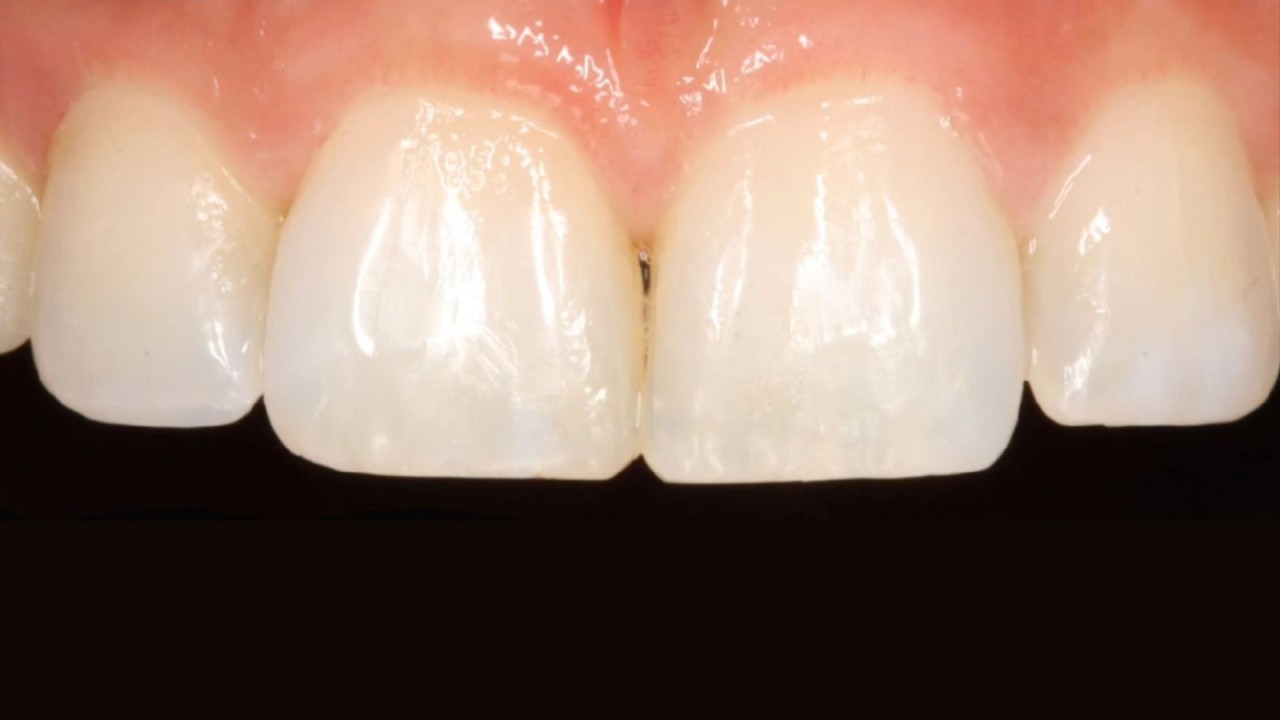
Final monochromatic aesthetic reconstruction of the incisors.
Final result: Minimal invasive monochromatic aesthetic reconstruction of the upper incisors.
Used products
Discover the Kulzer products featured in this case and follow the links for more information:
Instructions for use:
Please also refer to the relevant Instructions for Use (IFU) when using the medical devices: Go to IFU portal